Full Mouth Rehabilitation
If your oral health has been diminished due to decay, trauma, bite problems, wear and tear, or other causes, simple dental care may not be sufficient to fix the problems. This is the point at which full mouth rehabilitation or reconstruction becomes necessary. The dentists at Krita Dental excel in tailored and comprehensive options that restore both the function and look of your teeth.
If you are battling chronic pain, tooth loss, or front teeth or cosmetic issues, the best dentist in Surat and the full mouth rehabilitation team will be able to restore all the aspects of your oral health. You will be able to trust that all aspects are undergoing reconstruction effectively in a new standard at an optimal space of dental health. Your smile will become the confident smile you deserve.

What Is Full Mouth Rehabilitation?
Full mouth rehabilitation is a restorative dental treatment to reconstruct every tooth in your upper and lower jaws. Full mouth rehabilitation treatment will suit people with multiple dental diseased conditions that inhibit their ability to eat, speak and smile comfortably. Full mouth rehabilitation treatment is different from dental treatment you may have had in the past because it is broader and specific to your oral health issues. Essentially full mouth rehabilitation is restorative and cosmetic dentistry aimed to improve your oral health and your smile.


Full mouth reconstruction is not for everyone. It is for people that have:
Who Needs A Full Mouth Reconstruction?
- Extremely worn down or broken teeth
- Multiple missing teeth
- Chronic jaw pain or headaches due to improperly aligned bite
- Severe decay and/or gum disease
- Facial pain or headaches due to TMJ disorder
- Trauma from an accident or sports injury
- Old dental work that is failing and needs to be replaced
Procedures :
Depending on your clinical situation your treatment plan may involve a range of procedures including:
- Dental Crowns and Bridges: For restoration of form and function
- Dental Implants: For permanent missing tooth replacement
- Veneers: For a flawless aesthetic smile
- Orthodontic Treatment: To correct bite and alignment issues
- Gum disease treatment: To establish a healthy foundation
- Root Canal Therapy: To preserve infected or damaged teeth
- Tooth whitening: To establish a brighter and whiter smile
At krita Dental, we will provide that treatment to the highest standard, along with the latest technologies, and the best quality materials.

Why Krita Dental?
With advanced dental solutions, the highest standard of compassionate care, and world-class infrastructure, Krita Dental treats hundreds of patients in full mouth rehabilitation every year as the best dental clinic in Surat. Here are reasons patients choose us:
Expert Team
Led by the best dentist in Surat with a respected reputation and decades of experience with complex restorative cases.
Unique Treatment Plan
All cases are different and each patient receives a fully customized treatment plan.
Full Range of Dental Services
Every dental specialty provided under one roof.
Cutting-edge Technology
Intraoral scanners, Digital x-rays, and CAD/CAM in dentistry enable ideal and precise outcomes for each case.
High Success Rate
Our full mouth reconstruction cases have high successful long-term outcomes and follow-up.
Painless experience
Sedation options to make your experience more comfortable.
The Full Mouth Rehabilitation Journey: What to expect

- Initial Consultation and Diagnosis
- Full mouth assessment
- Digital scanning & X-rays
- Bite analysis & medical history
- Treatment Planning
- Tailored plan customized to your dental condition
- Esthetic & functional goals agreed upon in detail
- The Phased Treatment Plan
- Provide relief and prevent infection first,
- Restorative and cosmetic procedure follows
- Follow-Up and Maintenance
- Checkups on a regular basis
- Retainers if required
- Personalized hygiene routines
Cost factors for Full Mouth Rehabilitation in Surat
The cost of full mouth rehabilitation varies based on:

- Number of processes needed
- crowns, implants, veneers etc.
- Technology and material used
At krita Dental, our pricing is competitive, we have all-inclusive transparent billing, and offer flexible payment plans. Schedule a consultation for an accurate estimate specific to your case.
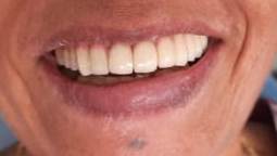
Real People. Real Outcomes.
We have transformed hundreds of patients’ lives by restoring their smile and quality of life with full mouth rehabilitation. Our before and after results show a lot about our commitment to our work.
Are you ready to restore your smile?
Stop letting your dental issues dictate your life. Let the best dentist in Surat, and professionals, help you rebuild your smile and confidence with full mouth rehabilitation.
F.A.Q.
Krita Dental offers expert full mouth rehabilitation with multidisciplinary care, making it the best dental clinic for comprehensive restoration.
Dr. Kinjal Ghelani leads full mouth reconstruction with precision and artistry earning recognition as the best dentist in Surat for major rehabilitation.
Our full mouth rehabilitation blends implants, crowns, orthodontics, and aesthetics to fully restore function and appearance.
Treatment timelines vary by complexity; full mouth reconstruction typically spans several months, guided by the best dental clinic expertise.
Full mouth reconstruction restores oral health, functionality, confidence, and aesthetics delivered by the best dentist in Surat.
